新闻资讯 > 骨科前沿
News

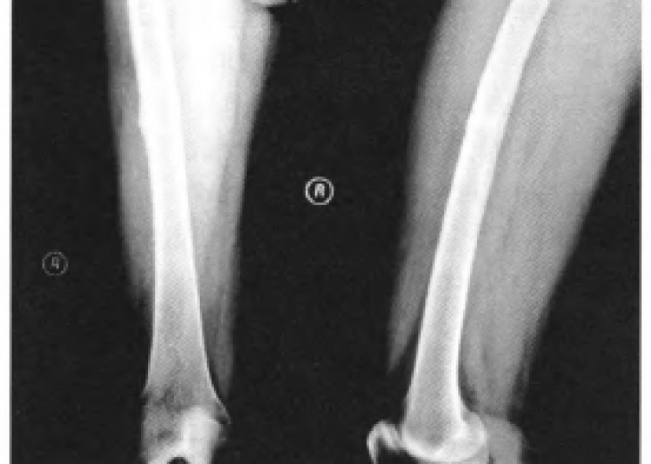
临床资料患者女,61岁,因“双侧大腿疼痛6个月,左侧外伤后疼痛加重伴活动受限ld”于2015年12月4日入院。6个月前,无明显诱因出现双侧大腿疼痛,不伴局部皮肤红肿热痛,未做特殊处理。1周前,疼...
2017
YERS
07
MONTH
05
DAYS
more
随着经济发展,交通运输业日益繁荣,交通拥堵等环境问题愈发凸显,交通安全问题亦不容忽视。髋臼骨折作为一种由高能量创伤所致的复杂骨折,多发生于交通事故中,有研究表明,虽然髋臼骨折在所有...
2017
YERS
07
MONTH
04
DAYS
more
骨软骨瘤是一种发生在骨表面,顶端有软骨帽覆盖的良性骨肿瘤。大多发生在长管状骨的干骺端,约占骨肿瘤的9.3%,占骨良性肿瘤的36%左右。然而,发生在脊柱的骨软骨瘤在临床上较为罕见。除此之外,...
2017
YERS
07
MONTH
03
DAYS
more
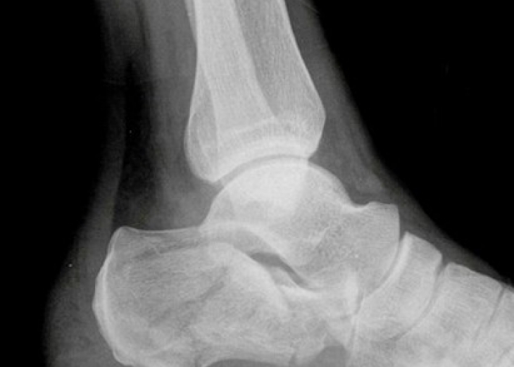
传统的切开复位内固定是治疗跟骨骨折的有效手段之一,并且也得到了国内外众多学者和专家的肯定,其中以传统的外侧“L”形切口入路切开复位内固定最为常见,几乎可以应对各种复杂类型的跟骨骨折...
2017
YERS
06
MONTH
29
DAYS
more
常规椎间盘摘除术及显微镜下椎间盘摘除术二者之间有两个根本差别,正是这两点根本不同决定了脊柱显微手术器械的设计要求比较特殊:第一,与常规椎间盘摘除术相比,显微椎间盘摘除术的切口切开更...
2017
YERS
06
MONTH
28
DAYS
more
摘要目 的探讨创伤性肘关节僵硬患者围手术期护理及康复治疗要点。方 法2010年1月至2014年12月,北京大学人民医院创伤骨科采用开放式肘关节松解结合铰链式外固定架治疗创伤性肘关节僵硬患者8例。...
2017
YERS
06
MONTH
27
DAYS
more
前交叉韧带(ACL)损伤的MRI诊断作者:广西中医药大学第一附属医院米琨引言前交叉韧带(ACL)损伤是青壮年膝关节最常见的运动损伤,损伤后膝关节肿胀、疼痛,活动受限。虽然肿胀消退后绝大...
2017
YERS
06
MONTH
26
DAYS
more
引 言腰椎重度滑脱症定义是指椎体滑移率>50%,Meyerding>II度。青少年人群中发病率为2.4%,常累及L5/S1节段。发育,创伤,手术和病理是造成腰椎重度滑脱症的因素。依据SDSG分类...
2017
YERS
06
MONTH
22
DAYS
more
颈椎前路手术入路自1958年首次被Smith和Robinson报道以来,目前是治疗各类颈椎疾患(创伤、退行性变、肿瘤等)最常用的手术方式,而吞咽困难是颈椎前路术后最常见的并发症之一。吞咽困难的定义是...
2017
YERS
06
MONTH
21
DAYS
more