新闻资讯 > 骨科前沿
News

滑膜软骨瘤病是一种关节骨膜自限性增殖性的良性疾病,由滑膜内层结缔组织增生并化生成多数软骨结节,钙化、骨化而脱离滑膜,进入关节腔,形成大量游离小体。该病好发年龄为30~50岁,男性多于女...
2017
YERS
06
MONTH
20
DAYS
more
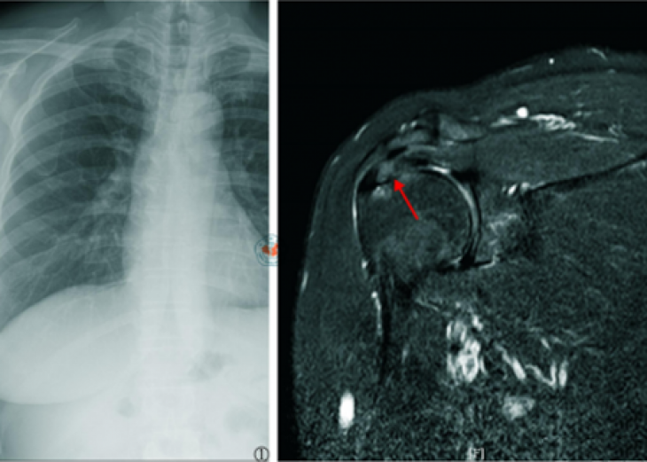
肩袖钙化性肌腱炎是常见的引起肩关节剧痛的疾病之一,好发年龄为30~50岁,女性稍多于男性。当肩袖钙化性肌腱炎处于急性发作期时,患者常常出现肩部剧烈疼痛,夜不能眠,严重影响正常的工作和生...
2017
YERS
06
MONTH
19
DAYS
more
摘要3D打印技术应用于足踝外科领域具有快速、个体化、直观、可操作性强等优点。应用3D打印技术制作的足踝矫形器能实现个体化治疗,并缩短制作时间;术前制备骨骼3D打印模型和导向模型可减少手...
2017
YERS
02
MONTH
20
DAYS
more
脊髓损伤是一种严重的中枢神经系统创伤,常造成患者四肢瘫、截瘫等严重后果,具有致残率高、预后差的特点,是尚未解决的世界性医学难题。目前临床上对脊髓损伤伤情程度的评估、针对性治疗及预后...
2017
YERS
02
MONTH
10
DAYS
more
骨质疏松症是以骨量减少、骨的微细结构退化、骨强度降低为特征,致使骨的脆性增加以及骨折危险性增加的一种全身性代谢性骨骼疾病。在骨质疏松椎体中,融合失败导致椎弓根螺钉断裂、脱出的发生率...
2017
YERS
01
MONTH
11
DAYS
more
近10年来,创伤骨科医生面临的疾病谱发生了显著变化。交通意外、伤害、工伤事故等高能量损伤造成的严重创伤病例正在明显减少,取而代之的是低能量损伤导致、以老年人群为主的骨质疏松性骨折。髋...
2016
YERS
12
MONTH
20
DAYS
more
退变性脊柱侧凸(DS)常合并椎管及神经根管狭窄、椎体旋转、椎间半脱位及矢状面失平衡等病理改变,其手术治疗策略复杂。当患者脊柱侧凸较重、畸形进行性进展,并存胸腰椎后凸畸形,或矢状、冠...
2016
YERS
12
MONTH
14
DAYS
more
日前,骨卫士医生集团首席顾问、清华大学附属北京清华长庚医院骨科关节中心主任蔡谞教授在清华长庚医院成功完成全踝关节置换术。患者是一名58岁男性,近3年来出现右踝关节肿胀疼痛难耐,活动受限...
2016
YERS
12
MONTH
01
DAYS
more
肘关节解剖结构复杂、功能要求高,创伤后极易发生僵硬。尤其是近年来手术指征的扩大和康复不当,造成很多医源性僵硬。随着对生活质量要求的提高,越来越多的肘僵硬患者希望能改善其功能。肘关节...
2016
YERS
11
MONTH
08
DAYS
more