新闻资讯 > 骨科前沿
News

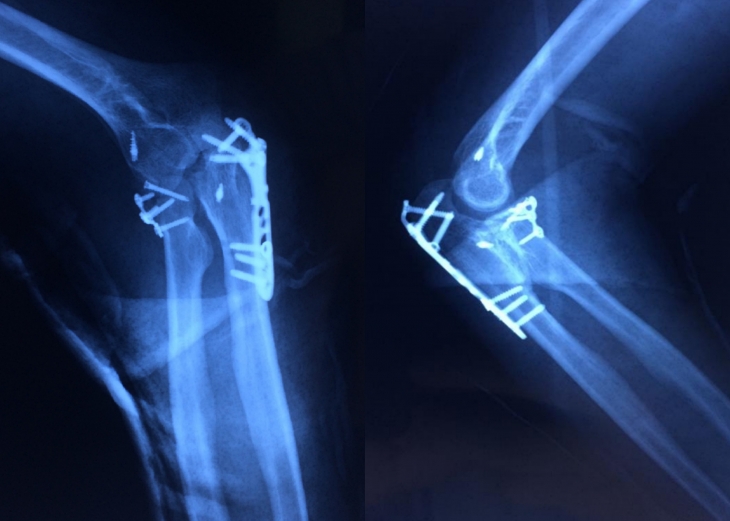
6月4日,骨卫士2020年学科规划建设第七期——病例讨论会在骨卫士专家委员会秘书处的精心部署下成功展开,本期病例讨论会围绕一则“创伤性肘关节不稳定”病例进行深入探讨。专家介绍骨卫士特聘专...
2020
YERS
06
MONTH
05
DAYS
more
8月29日,骨卫士第八期病例讨论会围绕“左侧胫骨病变”主题,在骨卫士专家委员会秘书处的精心部署下成功举行。专家介绍◈骨卫士特聘专家、原解放军第五医学中心(307)骨科专家、现任邵阳武冈展...
2019
YERS
08
MONTH
30
DAYS
more
6月27日,骨卫士第五期病例讨论会在骨卫士专家委员会秘书处的精心部署下成功举行。专家介绍◈骨卫士特聘专家、原解放军总医院第七医学中心骨科副主任医师、现任山西怀仁诺贝尔医院骨科常务副主任...
2019
YERS
06
MONTH
27
DAYS
more
继骨卫士第一期在线重点病例讨论会成功召开后,第二期病例讨论会在专委会秘书处精心部署下于4月11日晚如期举行。骨卫士专家委员会名誉主席、四川大学华西医院裴福兴教授出席了本期讨论会,骨卫士...
2019
YERS
04
MONTH
13
DAYS
more
会议通知2017年12月31日,中国研究型医院学会关节外科专业委员会人工关节表界面材料研究学组(Chinesearthroplastysurface&interfacesociety,CASIS)在上海成立,并成功举办了《首届中...
2019
YERS
01
MONTH
03
DAYS
more
尊敬的各位专家同仁:随着加速康复外科(Enhancedrecoveryaftersurgery,ERAS)在我国蓬勃开展,近两年来骨科手术是显著地减少了输血及并发症,提高了手术安全性。骨科手术加速康复的总体目...
2018
YERS
12
MONTH
10
DAYS
more
时间:2018年12月08-2018年12月08地址:北京北京京都信苑饭店分类:综合会议简介尊敬的各位专家:由首都医科大学骨外科学系、骨科在线主办,首都医科大学附属北京世纪坛医院承办的首都医科大学骨外...
2018
YERS
12
MONTH
07
DAYS
more
时间:2018年11月30-2018年12月01地址:国宾饭店-国宾厅分类:综合会议简介联系方式庄愚-电话:010-68319020。邮箱:lngkfh2018@126.com...
2018
YERS
11
MONTH
21
DAYS
more
时间:2018年12月21-2018年12月23地址:杭州杭州瑞立江河汇酒店分类:综合会议简介第十一届《中华骨科杂志》论坛通知为适应我国骨科专业的快速发展,促进骨科领域的学术交流,自2008年成功举办第一...
2018
YERS
11
MONTH
09
DAYS
more