马凡综合征(Marfan
syndrome,MFS)是一种常染色体显性遗传的结缔组织异常,累及多个系统,包括眼、心血管、骨骼系统,其人群发病率约为0.02%一0.03%。本病是由位于15号染色体长臂(15q21.2)上编码原纤维蛋白-1的基因FBN-1的突变所致,病变主要累及全身结缔组织,由于原纤维蛋白-1合成和沉积量的差异,各受累系统的表现可以多种多样。
马凡综合征患者的骨骼表现主要有:瘦长体型、长头、高腭弓、鸡胸或漏斗胸、四肢纤细、典型的蜘蛛指/趾、扁平足、韧带松弛及关节脱位和脊柱畸形等(图1-3)。脊柱畸形在马凡综合征患者中较为多见,40-75%的马凡综合征患者同时并存脊柱侧凸畸形(图4),发病较早,其中有些在婴幼儿时期即可发病,并且畸形进展的速度快于特发性脊柱侧凸,主弯也较后者更为僵硬。因此,马凡综合征性脊柱畸形的治疗应更为积极,防止由于治疗不及时而出现严重后果。

图1:马凡综合征的“拇指征”。当手指握起时,拇指伸出超过手掌尺侧

图2:马凡综合征的“腕征”。拇指和环指环绕腕部超过一圈并重叠

图3:马凡综合征患者的瘦长躯干

图4:马凡综合征伴脊柱侧弯
目前马凡综合征性脊柱畸形的治疗方法主要有:
A、支具治疗:支具是非手术治疗脊柱侧凸的首选方法,但是应用于马凡综合征性脊柱侧凸的成功率仅为17%,主要与畸形进展快,完型僵硬和患者耐受性差有关。
B、手术治疗:是治疗进展型严重脊柱畸形的主要手段,对于马凡综合征性脊柱畸形,除了常规的手术策略规划,在围手术期还存在其特殊性——
1. 马凡综合征常伴发脊柱发育不良,骨量减低,腰骶段椎管扩大、硬膜囊扩张,椎体扇贝样改变,椎板变细变薄,以及椎弓根发育变细,给后路内固定手术增加了难度,术后内固定松动,假关节形成和矫形丢失的发生率较高。因此需要在术前仔细分析患者的CT和MRI图像,制定详细的置钉位置和截骨矫形策略。
2. 由于马凡综合征所导致的韧带松弛与弱化,因此脊柱非融合节段的代偿能力显著下降,手术应尽量避免短节段固定和选择性融合,融合节段应包括中立椎和稳定椎,以防止出现术后Adding on和脊柱失平衡。
3. 由于韧带和筋膜的弱化,并且常伴随腰骶部椎管扩大和硬脊膜扩张,术中硬脊膜撕裂的发生率明显增加,可达63-92%,术后脑脊液漏和伤口感染的发生率显著增加,应予以重视。
4. 马凡综合征常伴有心脏结构异常,如主动脉扩张、二尖瓣脱垂伴反流和动脉瘤等,循环功能较差,且由于长期的脊柱畸形和胸廓发育不良而影响呼吸功能,增加了围手术期心肺并发症的发生率。所以术前应常规行心脏超声和肺功能检查,对患者的手术耐受情况进行综合评估。另外,术中失血量也明显增多,平均达2150ml,应事先准备充足的血液,并采用术前预存式自体血回输及术中自体血回吸收输入等方法。
病例介绍:
患者男性,26岁,发现脊柱侧弯14年,腰背部疼痛加重1年。14年前诊断为马凡综合征,之后逐渐出现胸腰椎侧弯,伴有疼痛。近一年来感觉疼痛明显加重,站立1-2小时即感腰背部疼痛酸胀,休息可以缓解。此次为矫形入院。
2年前于外院行二尖瓣+主动脉瓣机械瓣膜置换术+主动脉窦部修补术。术后口服华法林抗凝治疗。
查体:脊柱外观侧后凸畸形,双侧不对称,各项活动部分受限。四肢手指和足趾较细长,韧带松弛。双下肢感觉、运动正常,生理反射对称,病理反射(-)。
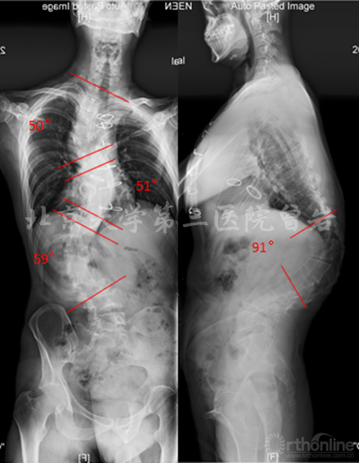
术前X线(图5):侧凸上胸弯Cobb 52°,下胸弯Cobb 52°,胸腰弯Cobb 65°,后凸角度102°,左肩高于右肩。

图5
左右Bending X线(图6):左侧Bending上胸弯矫正至46°,胸腰弯矫正至56°;右侧Bending下胸弯矫正至48°。

图6
CT(图7):显示脊柱侧后凸畸形,腰骶段椎管扩大,椎体扇贝样改变,椎弓根发育异常,L5峡部不连。

图7
MRI(图8):显示腰骶段椎管扩大,硬膜囊扩张。

图8
外观像(图9):显示躯干畸形外观。

图9
手足外观照(图10):手指和足趾具有马凡综合征特征性改变。

图10
腋下-骨盆悬吊皮牵引2周后,畸形改善不明显(图11)。

图11
手术:后路经T12椎弓根截骨,T6-11 Ponte截骨,侧后凸矫形,T2-L5椎弓根固定,植骨融合,L5双侧峡部修补(图12)。A.导航下钉道准备;B.徒手钉道准备;C.椎弓根置钉;D.经T12椎弓根截骨;E.矫形;F.完成矫形。

图12
术后X线(图13):侧凸上胸弯Cobb 20°,下胸弯Cobb 18°,胸腰弯Cobb 19°,后凸角度10°,冠状位和矢状位平衡维持良好,双肩等高。

图13
术后外观像(图14):术后外观明显改善。

图14
矫形手术设计理念:
该患者在12-13岁逐渐发现脊柱侧弯,其属于青春发育期,即第二次生长高峰时期发生脊柱畸形的MFS。大样本的研究显示,至骨骼发育成熟时,63%的MFS患者合并脊柱侧凸,其常见弯型与特发性侧凸类似,但是多发弯或大弯的比例高于特发性侧凸,且较后者僵硬的多。
另外,MFS侧弯常伴有矢状面的改变,如胸椎和胸腰段的后凸。本患者上胸弯、下胸弯和胸腰弯均为结构性弯,且较僵硬,同时伴有胸腰段重度后凸。虽然经过2周的腋下-骨盆悬吊皮牵引,但畸形未见明显减轻。
因此,手术应行三弯融合,同时矫正后凸,还应兼顾L5峡部不连。手术融合范围为T2-L5。为了获得良好的矫形,在胸腰段主弯+后凸区域行3-4级截骨,在胸段行多节段Ponte截骨。术中椎弓根置钉应注意椎弓根发育异常和细小变窄等情况。
总结:
该患者为马凡综合征性脊柱侧后凸畸形,多发弯且柔韧性差,同时伴有骨性结构发育异常,腰骶段椎管扩大,硬膜囊扩张,椎弓根发育异常,L5双侧峡部不连,手术难度较大。
术前设计为融合三弯,同时矫正后凸。针对胸腰段侧后凸顶点行不对称PSO截骨,对胸弯行多节段Ponte截骨。由于存在多发椎弓根发育异常,因此椎弓根置钉采用导航与徒手相结合,既提高准确性,又兼顾效率。矫形后应用卫星棒行L5峡部修补后的固定,以避免主固定棒与椎板钩之间的连接困难问题。
患者2年前行心脏瓣膜置换,术后一直口服华法林抗凝,此次在术前2周停用华法林,改用低分子肝素皮下注射抗凝,减少对凝血功能的影响。术中应用氨甲环酸减少出血,自体血回输装置减少异体血输血。术中神经电生理监测平稳。患者术后恢复顺利,未出现相关并发症。
来源:北京大学第三医院骨科 曾岩