奇异性骨旁骨软骨瘤样增生(即BPOP,或Nora病)是一种罕见的疾病,由Nora等于1983年首次报道,故又称Nora病。在接下来的100多年中,也只有为数不多的几位学者,报道过Nora病。总例数不超过200例。Nora病既可以发生于手足部,也可以发生于手足以外的部位。本病国内2001年报道上海发现4例,其临床和X线表现不同于骨软瘤,而病理形态易误诊为皮质旁骨肉瘤等恶性病变。为此,本文报道在本地区发现的1例患者,着重讨论病理学特征。
病例资料
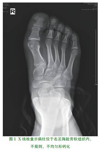
患者,男,15岁,因“发现左踇趾赘生物形成伴增大2月”入院,入院查体:左踇趾远端可见一大小约1*0.8cm,质硬,轻微压痛,表面皮肤无发红,皮温不高,肢体远端感觉及运动正常,走路时无明显跛行。X线片检查见图1:病理大体所见:带少许皮肤的软组织一块,1.3*0.6cm,切面灰白,质硬(详见图2、图3)。



病理学所见
镜下见分化成熟的骨、软骨及纤维组织,大量富含细胞的软骨伴软骨化骨,骨小梁周围见良性的骨母细胞围绕,骨小梁间见大量梭形细胞,无骨髓组织。
讨论
Nora病它代表一种异位的骨化,最常累及手和足骨,长骨受累占25%。典型的X线示有一重度钙化或骨化的肿块,有宽的基底部附着于其下方表现正常的皮质上。
肿块的外形经常光滑,但亦可由轻度分叶。组织学检查有大量富含细胞的软骨,该软骨表现出向骨小梁转化;在小梁间隙内有梭形细胞。双核细胞常见,并有明显的成骨活动,这一表现可导致误诊为骨旁骨肉瘤。它好发于手足骨旁,以中节和近节指/趾骨、掌骨、跖骨居多,直径常<3cm。由分化成熟的骨、软骨及纤维构成的瘤样病变,其中软骨成分有不典型性,病变位于骨旁软组织,体积较小,与骨无关,偶尔邻近骨有反应性增生。
Nora病具有特征性病理改变,病变由分化成熟的骨、软骨及纤维三种成分按不同比例无序组合而成;缺乏正常的骨髓组织,而是由丰富的纤维组织替代;骨小梁周围有良性的骨母细胞被覆,基质蓝染,呈特征性蓝骨;软骨细胞有轻度不典型性,但有软骨化骨倾向。由于该病少见,诊断此病需要与相关骨肿瘤及反应性修复性的瘤样病变进行鉴别:
(1)骨软骨瘤:骨软骨瘤是儿童期常见的良性骨肿瘤,通常位于干骺端的一侧骨皮质,向骨表面生长,又称外生骨疣。病理上由病变表面至病变中心分3层结构:外层纤维膜层(相当于正常骨膜),中层分化成熟的透明软骨帽,内层软骨化骨,为成熟的板层骨,骨小梁之间为成熟的血管脂肪组织(黄骨髓)或造血组织(红骨髓)。此3方面的表现均与奇异性骨旁骨软骨瘤性增生不同。
(2)纤维骨性假瘤(旺炽性反应性骨膜炎):是一种位于手足骨的良性增生性纤维骨性病变。好发于青少年手足骨骨膜,偶见于长骨,常有外伤及蚊虫叮咬病史。
X线表现为手足部皮下与骨膜相邻的软组织肿块,或为指趾骨成骨性病灶伴明显骨膜反应和骨皮质可破坏。镜下以膜性成骨和纤维增生为主要特征,缺乏软骨成分和软骨化骨,区别与奇异性骨旁骨软骨瘤性增生。
(3)甲下外生性骨疣:呈单发性纤维性和骨性结节,常见于拇趾,偶亦见于其他足趾端,特别是小趾。本病主要发生于12-30岁的女性。
X线上亦表现为松质骨与附着骨不连续,附着骨的骨皮质无缺损。与奇异性骨旁骨软骨瘤性增生不同的是镜下表现为分层结构,由病变表面至病变中心分四层结构:外层纤维层,增生活跃的纤维母细胞层,纤维软骨层和软骨化骨形成的骨小梁。BPOP具有复发倾向,术后2年复发率可达35%-55%,罕见恶变。治疗采用局部病灶完整切除,包括基底部附着骨的部分骨皮质,对此病的远期疗效需长期随访。