为更好地保障骨卫士旗下各合作医院骨科医疗质量、切实做好各合作医院学科建设工作,7月17日,在医疗管理中心的精心组织部署下,骨卫士对合作医院——中山市广济医院开展骨卫士第三期专家云查房工作。



骨卫士合作医院中山市广济医院 针对本科室近期接诊病例中具有代表性的患者病例进行线上汇报。
患 者:杨某,女,49岁。
主 诉:因车撞伤致左小腿疼痛出血活动受限30分钟,入院治疗。
症 见:患者30分钟前骑电动车不慎被大货车撞伤,致左小腿疼痛出血,左踝关节活动受限,不能站立行走。当时无胸闷气促,无恶心呕吐。
查 体:T:36.6℃,P:76次/分,R:20次/分,BP:140/100mmHg。
专科检查:左小腿远端内侧约10cmX6cm创面,出血活跃,骨质碎裂外露,污染重。左小腿后侧正中后踝近端10厘米处约5cmX3cm挫伤创面,渗血,污染重。压痛,触及骨擦感。左踝关节主动活动受限。左足肿胀瘀青,压痛,足背触及骨擦感,足背动脉未能触及。左足各趾主动活动受限。
影像资料:

诊 断:
左小腿、左足碾压伤:
1、左胫骨下段开放性骨折并骨折缺损;
2、左腓骨下段多段粉碎性骨折;
3、左跟腱止点撕脱;
4、左小腿皮肤软组织碾挫并缺损;
5、左胫前、胫后动脉挫伤;
6、左胫后肌、趾屈肌断裂;
7、左胫神经挫伤;
8、左侧大隐静脉缺损伤;
9、左内、外踝骨折;
10、左2、3、4、5趾骨骨折;
11、左足第5趾近节骨折;
12、左小腿创面感染。
治疗方案:
急诊术中清创,左跟腱止点撕脱断裂,左胫骨后肌、趾长屈肌断裂。
左侧胫神经挫伤部分断裂,左侧胫后动脉挫伤,大隐静脉断裂缺损。
左小腿清创缝合,血管神经探查,骨折复位外固定架固定,跟腱止点重建,胫后肌,趾屈肌修复,VSD引流术。
考虑小腿后侧腓肠神经营养皮瓣区域软组织挫伤,不适合该皮瓣转移修复术。
术后影像:



术中触及足部骨擦感,术后查足正侧位,发现跖骨骨折。


病例难点:患者左胫腓骨开放性骨折并软组织缺损,目前创面感染伴肌腱、骨质外露,有手术指征。行第2次创面坏死组织清除,VSD 负压吸引术。
针对此病例诊断及治疗方案,周乙雄教授指导如下:
病例诊断要准确精炼。
小腿开放性粉粹性骨折最重要的是软组织的处理,然后再是骨折的处理,因此需要彻底清创(刷洗伤口,大量清水冲洗,有计划地从皮缘向中心清理坏死组织和受挫伤组织)。
关伤口时要观察皮肤张力,若皮肤张力过大,可进行皮肤转移或减张,有利于皮肤血液循环和伤口愈合。若有残留小创面,可换药和植自体皮消灭创面。
有人提出能否清除粉粹性骨片,周主任认为千万不能清除骨片,避免人为造成骨缺损。
由于腓骨是短斜型骨折,应争取将腓骨复位支撑保持胫骨的长度,对胫骨的康复有很大的帮助。
原四川大学华西医院骨科主任、骨卫士专家委员会名誉主席裴福兴教授也参与了此病例的讨论,裴教授指导如下:
非常认可周教授的观点,小腿的开放性骨折,首先要考虑软组织的修复,然后再处理骨折。此病例最重要的是考虑如何处理好软组织,覆盖骨胳、神经、肌腱等。可以在患者胫骨前方做皮肤旋转覆盖,保证切口更好的愈合;同时要考虑手术是否造成远端肢体血液循环障碍,不要轻易做皮瓣旋转。
患 者:李某,男,42岁。
主 诉:因摔伤致腰背部、右跟部疼痛伴活动受限2小时,入院治疗。
症 见:患者从2米高处摔下,双足着地,即觉腰背部、右跟部疼痛伴活动受限,受伤当时无胸闷气促,无恶心呕吐。
查 体:T:36.4℃,P:78次/分,R:18次/分,BP:120/70mmHg。
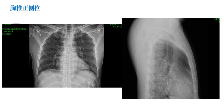
专科检查:胸腰椎稍后突,胸腰部稍肿胀,无瘀青,皮肤黏膜完整,腰1、2棘突处轻压痛,腰2椎旁轻压痛,局部叩痛,双侧沿坐骨神经区无压痛,右大腿前中部感觉减退。双大腿内侧、内踝、第3跖趾关节背侧、足跟外侧感觉无减退。肛门反射存在,双侧膝反射、双侧踝反射消失。髂腰肌肌力(Ⅴ级)。双侧股四头肌肌力(Ⅴ级),双侧胫骨前肌肌力(Ⅴ级),双侧踇长伸肌肌力(Ⅴ级),双侧踇长屈肌肌力(Ⅴ级),双侧踝关节跖屈(小腿三头肌)肌力(Ⅴ级)。直腿抬高试验(-)、加强试验(-),拾物试验(不能配合完成)。腹壁反射、肛门反射正常。右肾区叩击痛(+),左肾区叩击痛(-),输尿管移行区无叩击痛。左髋部叩击痛,髋关节活动可,4字征(-)。右外踝、跟部肿胀,皮肤黏膜完整,局部可见皮下淤血,压痛,未触及骨擦感,足背动脉可及,右足末梢感觉无减退,右踝外侧应力试验、抽屉试验不能配合,右踝关节主动活动稍受限,右足各趾活动可。
影像资料:





诊 断:
1:腰1、2椎体压缩骨折(椎体分别压缩约40%、10%);
2:腰椎退行性改变伴椎管狭窄;
3:腰3/4、4/5、腰5/骶1椎间盘膨出;
4:右跟骨骨折;
5:胸12陈旧性骨折。
治疗方案:
1:腰1、2椎体骨折复位内固定术,右跟骨骨折切开复位内固定术。
2:腰1、2椎体骨折复位内固定、腰3/4椎间盘摘除椎间融合内固定术,右跟骨骨折切开复位内固定术。
术后影像:




针对此病例诊断及治疗方案,周乙雄教授指导如下:
手术首先要考虑患者安全问题,此患者年龄偏大,心率慢(最慢38次/分),应安装起搏器,提高手术的安全度。
术中麻醉方式的选择也很重要,要选择对患者全身影响最小的麻醉方式,除腰麻外可考虑神经阻滞麻醉,必要的时候补充局部麻醉。
最后周教授表示本例病例手术做的很好,手术前对病例进行了各科室会诊,评估患者的心功能,这一点做的非常正确。
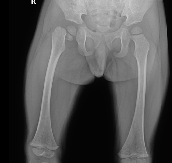
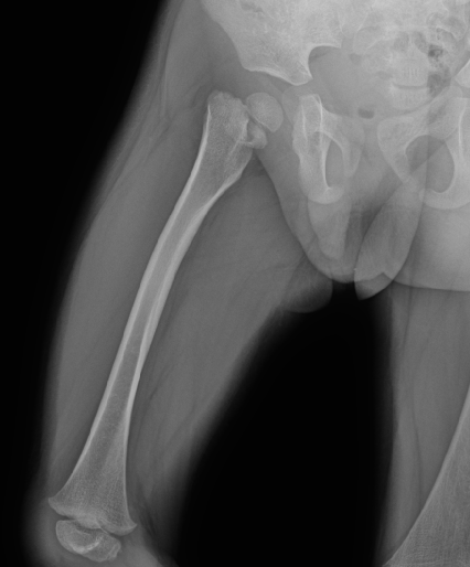
患 者:余某,男,2岁11个月。
主 诉:因高处坠落致右髋部疼痛、活动受限1小时,入院治疗。
症 见:患儿从4米高处坠落,右髋部拒绝活动,受伤当时无意识障碍,无呼吸困难,无恶心呕吐等不适,伤后1小时入院就诊。
影像资料:




DR提示:右侧股骨颈骨折,断端错位,右股骨干上提,颈干角缩小,右股骨干未见明显异常,双侧髋关节关系未见明显异常,余无特殊。
诊 断:
股骨颈骨折,骨折端移位。
针对此病例诊断及治疗方案,周乙雄教授指导如下:
此病例诊断为股骨颈骨折不够准确,一定要仔细查阅患者X光片。周主任认为此病例诊断为股骨头骨骺分离更确切,伴有半脱位。
此病例特点是患者年龄小,可塑性强,若采用保守治疗,可用手法复位, 双下肢皮牵引,臀部离床5-10公分。如果采用手术切开复位内固定,一定要考虑手术可能会引起肢体发育长短、股骨头畸形及坏死等合并症。因此治疗方案宜根据当地医疗条件、家属意愿等综合评估。
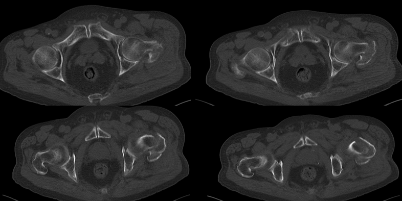
患 者:邱某,男,79岁。
主 诉:因撞伤致左髋部疼痛、活动受限30分钟,入院治疗。
症 见:患者自诉被小货车撞伤,致左髋部肿痛伴活动受限,受伤当时患者无昏迷、晕厥,无恶心、呕吐,无胸闷、气促,受伤后来入院就诊。
查 体:T:36.7℃,P:52次/分,R:20次/分,BP:130/74mmHg。
专科检查:神志清楚,检查合作,左髋部稍肿胀,皮肤粘膜完整,局部皮色淤青,左下肢外旋、未见明显短缩,左髋局部压痛,左足底叩击痛,左髋关节主动伸屈、外展、内收等活动受限;左下肢末梢皮色红润,感觉良好。
影像资料:

骨盆正位

髋部CT

髋部CT+骨三维

心电图
入院后查心电图提示:窦性心动过缓;心电轴左偏;三度房室传导阻滞;ST度轻度压低(前侧室)。
诊 断:
左股骨粗隆骨折,伴心动过缓,三度房室传导阻滞。阿托品试验阴性。
针对此病例诊断及治疗方案,周乙雄教授指导如下:
诊疗中应精准掌握手术适应症。此病例患者因外伤引起腰1、2椎体压缩骨折入院治疗,病例记载中患者有下腰部的退行性改变但没有明显椎管狭窄症状,因此手术适应症局限在腰1、2。
患者42岁尚年轻,没有明显椎管狭窄症状,将整个腰椎内固定是否范围过大。若患者高龄,下腰部有退行性改变并伴有椎管狭窄症状,可采用如此的手术操作方式,将腰3、4、5进行减压内固定。
因此医生应严格掌握手术适应症,要明确哪些手术可做,哪些手术不可做,哪些手术可做可不做,精准掌控手术适应症。