近日,骨卫士学科规划建设——病例讨论会2021年第二期成功开展,本期病例讨论会围绕一例腰椎术后感染的处理的相关问题展开深入探讨。

骨卫士医疗集团特聘专家、南方医科大学珠江医院骨科专家、骨卫士合作医院中山市广济医院骨科主任陈仲教授担任汇报专家。


病例节选
患 者:男,66岁。
主 诉:因腰痛伴左下肢痛半年,在当地行腰椎内固定治疗,术后下肢疼痛症状缓解。术后1个月后开始腰痛,腰痛性质为持续钝痛,负重、活动加重 服止痛药可减轻,推拿按摩理疗效果不佳。
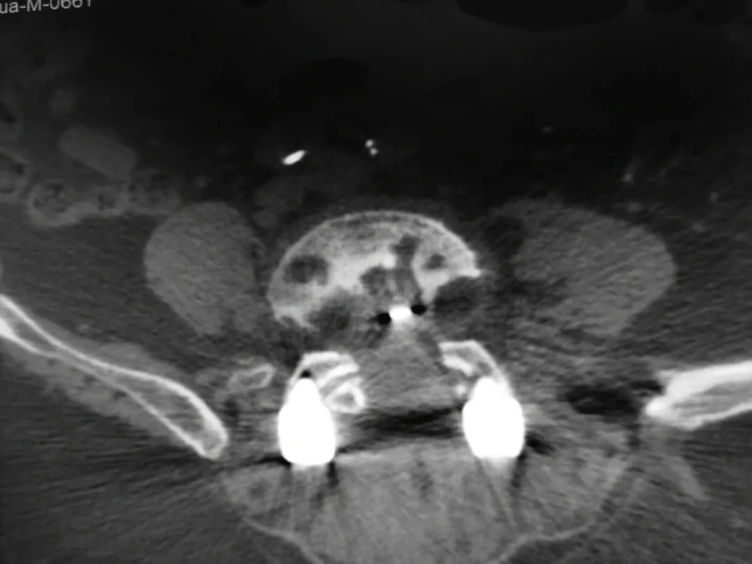
腰椎内固定术后影像:CT可见椎体多个低密度灶。


▲X光片


▲MR

▲CT


手术操作:2020年6月10日行后路开窗探查术,术中见内固定无明显松动,椎间隙肉芽组织增生,取出深部肉芽组织送检病理微生物鉴定术后,持续冲洗引流1周。病理报告为肉芽组织,细菌培养7天无细菌生长。
术后1周出院,但1个月后腰痛复发,乃再次入院。计划孔镜下精确活检,加送高通量测序。
影像资料:

▲孔镜工作通道直达病灶

▲高通量基因测序报告:玫瑰单胞菌
术后情况:术后患者疼痛症状减轻,经理疗,少量腺苷钴胺,地塞米松肌注后症状完全缓,目前术后6个月多无复发。
关于是否取出内固定有三种观点:
一、主取派:内固定表面细菌形成保护膜;
二、主保派:在冲洗引流前提下,保护膜可被消除;
三、中间派:根据内固定是否松脱决定。
陈仲教授认为,内固定术后感染如仍稳定可不取出,要通过多途径明确病原菌,选用敏感足量抗生素,并使用适当激素消除无菌性炎症。
莒南县红十字永康医院王伟主任表示,椎体感染的病例在临床上并不多见,此病例从术前各项检查以及第一次手术后的病理细胞学检查都并不支持感染的诊断,最后通过细菌基因检测才明确诊断的。除了通量的基因检测外,是否有更加可行的适合于大多数医院的检测手段。
湖南武冈展辉医院胡立冬主任表示,脊柱感染术后病人第一次手术和第二次手术间隔时间节点很重要。早期感染一般是保留内固定做清创,清创有两种方式,一种是后入路式按原来切口进去,另一种是用椎间孔镜。目前绝大多数选择椎间孔镜,保留内固定,椎间孔镜进去后,用大量抗生素冲洗,很多患者通过这样的治疗得到了很好的效果。
骨卫士专家委员会副主席杨述华教授肯定了陈仲教授的诊断及治疗方案。他表示,此病例是一个迟发性的晚期的深部感染,病例的临床症状及影像学有明显的感染迹象,同时C反应蛋白高,陈仲教授通过椎间孔镜取出肉芽组织,进一步证实了病例是感染型。临床上我们提倡能吃药的不打针,能打针的不开刀,能开小刀的不开大刀。陈仲教授的治疗方法很合理,对患者没有造成大的创伤。因为这个患者感染比较严重,涉及到椎体,可能会出现一些或轻或重的疼痛。如果患者出现重度或难以忍受的疼痛,可以选择进一步手术。手术方案可以考虑将后侧螺钉撤掉,前入路做椎体内固定。
杨述华教授为大家分享了他在临床上遇到了的一则类似病例。此病例做完微创后出现腰部疼痛,没有神经根刺激症状。杨教授通过对患者查体、影像、血像等相关检查资料,诊断为感染。由于涉及到椎体,考虑到手术条件和暴露条件,手术时选择了前入路。手术时用截骨刀等工具将病变的椎体、坏死组织、肉芽组织、炎性组织等彻底清除。尽量保留不影响上下位椎体,用钉子固定,再用钛网进行植骨做内固定。术后随访效果也很好。

本次病例讨论陈仲教授分享的这一典型病例,给各位骨科同仁今后处理同类病症提供了参照和依据。杨述华教授也和大家分享一个具有借鉴意义的骨科感染病例,并结合陈仲主任提供的病例,做了专业、精到的分析和点评,经验难得,十分重要。两位专家在处理骨科疑难杂症方面的深厚造诣、应变能力、独到之处,使各位在线骨科同仁深受启发,获益良多。
更多精彩培训内容及相关视频可关注骨卫士公众号或登录骨卫士官网获取。