新闻资讯 > 骨科前沿
News
技术新突破丨武冈展辉医院骨科成功开展首例桡骨小头置换术
骨卫士医疗集团合作医院武冈展辉医院骨科一直探索有益患者的医疗技术创新!近期,武冈展辉医院骨科应用桡骨小头置换术成功治疗了首例右桡骨小头粉碎性骨折的患者,为患者成功保住了肘关节的功能,提高了生活质量。此项技术的成功开展,使该院骨科的技术水平有了新的突破。

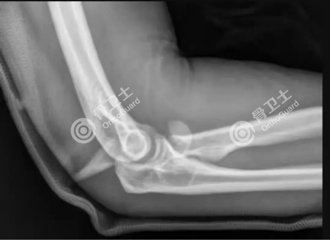
▲术前影像资料
这是一位38岁的男性患者,因意外在家中踩空从二楼摔伤,入院后经详细查体发现右肩外侧疼痛、活动受限,右肘部畸形,肿胀明显,压痛明显,右侧肱动脉未及,右肘活动受限,右手大拇指轻度麻木,右手中指环指小指麻木;经X线检查诊断为右桡骨小头粉碎性骨折,无法应用骨折固定的方式来修复,关节面严重破坏,肘关节活动障碍,这在骨科是一个非常让人棘手的问题,稍有不慎就会导致肘关节功能障碍。考虑患者年纪尚轻,经过科室反复研究讨论,建议患者实施右桡骨小头置换术。主管医师详细的给患者讲解手术的原理、方法及预后相关内容,得到了患者的认可,接受该项手术。
患者经术前充分评估和准备后,骨科主任胡立冬、李锡银带领骨科团队在手术室、麻醉科的配合下,顺利完成手术。该项手术难度大,需要精细操作,一旦操作不慎,术中容易损伤桡神经,引起垂腕的并发症,手术还需要精准修补重建环状韧带,以保持肘关节稳定。术后患者病情平稳,感觉良好,各项指标正常。经过进一步治疗护理后,关节功能恢复效果满意。

▲术后影像资料
据了解,桡骨小头骨折是常见的肘部损伤,占全身骨折的0.8%,约有l/3患者合并关节其他部位损伤。桡骨小头骨折是关节内骨折,如果有移位,理应早期手术治疗,恢复解剖位置,早期活动,以恢复肘关节伸屈和前臂旋转功能。桡骨小头骨折多见于成年人且容易漏诊,若不能得到早期治疗,有些患者前臂旋转功能受到限制,不得不将桡骨小头切除。这一手术的成功开展,为同类型骨折的治疗开辟了新途径。此次骨科实施的桡骨小头置换术是有效治疗桡骨小头粉碎性骨折的一种新技术,减少了传统切开复位或者桡骨小头切除术带来的多种并发症,可使患者肘关节伸屈、前臂旋转功能不受限,且患者术后也可立即开始功能活动和康复锻炼,使肘关节能较快恢复到正常功能,对年轻患者术后的生活质量非常有利,是目前较为有效的治疗方法。
骨卫士将秉承“让骨骼更健康,让生命更美好”的使命,不断发挥专家资源和技术优势,为合作医院赋能,开展各种形式的学科建设、教育培训等学术活动,引进前沿理念和先进技术,不断提升合作医院骨病诊疗技术水平,让患者就近就能得到高水平的骨科诊疗服务,助力实现健康中国。



▲扫码加入京东健康骨卫士骨科中心互联网医院,服务更多骨病患者